مازندران،نوشهر،ستارخان،جنب کلینیک ایران،ساختمان پزشکان ایرانیان،طبقه دوم واحد 8 دندانپزشکی دکتر زیبا نورعلی
Dr.nooralioffice@gmail.com
01152353393
با ما تماس بگیرید

با ما در تماس باشید

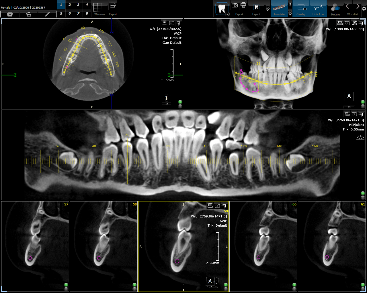
ایمپلنت

ایمپلنت

آیا به دنبال راه‌حلی دائمی برای جایگزینی دندان‌های ازدست‌رفته‌تان هستید؟ ایمپلنت دندان توسط دکتر زیبا نورعلی، با بالاترین دقت و تکنولوژی روز، بهترین گزینه برای شماست.
اطلاعات بیش‌تر
لمینت سرامیکی

لمینت سرامیکی

آیا به دنبال دندان‌های بی‌نظیر و لبخندی زیبا هستید؟ لمینت سرامیکی، راه‌حلی ایده‌آل برای کسانی است که می‌خواهند به ظاهری طبیعی و جذاب دست یابند.
اطلاعات بیش‌تر
درمان ریشه دندان(عصب کشی)

درمان ریشه دندان(عصب کشی)

 آیا به دنبال راه‌حلی موثر برای نجات دندان آسیب‌دیده خود هستید؟ درمان عصب‌کشی، یا اندودنتیک، راه‌حلی امن و کارآمد است که به شما کمک می‌کند تا دندان‌های خود را نجات دهید
اطلاعات بیش‌تر

ویژگی‌های دکتر زیبا نورعلی

دقت و ظرافت در دندانپزشکی زیبایی

دقت و ظرافت در دندانپزشکی زیبایی

در حوزه دندانپزشکی زیبایی، دکتر نورعلی به عنوان یکی از ماهرترین پزشکان شناخته می‌شود. او با استفاده از تکنیک‌های پیشرفته و طراحی لبخند به صورت شخصی‌سازی شده برای هر بیمار، دندان‌هایی زیبا، طبیعی و هماهنگ با چهره بیمار خلق می‌کند. لمینت‌های سرامیکی و طراحی لبخند دیجیتال، از جمله خدمات تخصصی او در این حوزه است.
تجربه گسترده در درمان‌های پیچیده دندانپزشکی

تجربه گسترده در درمان‌های پیچیده دندانپزشکی

دکتر نورعلی با بیش از یک دهه تجربه حرفه‌ای، درمان‌های پیچیده‌ای مانند ایمپلنت‌های دندانی، لمینت‌های سرامیکی، و بازسازی‌های کامل دهان را با موفقیت بالا به انجام رسانده است. تخصص او در این زمینه‌ها به بیماران این اطمینان را می‌دهد که در بهترین دست‌ها قرار دارند.
مهارت در ایمپلنت‌های دندانی

مهارت در ایمپلنت‌های دندانی

ایمپلنت‌های دندانی یکی از مهم‌ترین مهارت های دکتر نورعلی است. او با استفاده از مواد باکیفیت و تکنیک‌های جراحی پیشرفته، ایمپلنت‌هایی با دوام و ظاهری کاملاً طبیعی را برای بیماران خود انجام می‌دهد. درصد بالای موفقیت در کاشت ایمپلنت‌ها به دلیل مهارت و تجربه گسترده او در این زمینه است.
استفاده از فناوری‌های نوین دندانپزشکی

استفاده از فناوری‌های نوین دندانپزشکی

یکی از عوامل موفقیت دکتر نورعلی در درمان‌های دندانپزشکی، استفاده از جدیدترین فناوری‌ها و ابزارهای دیجیتال است. او از اسکن‌های دیجیتال، تصاویر سه‌بعدی و دستگاه‌های جراحی پیشرفته برای دقت بیشتر و بهبود نتایج درمانی بهره می‌برد.
تعهد به ارائه خدمات باکیفیت و بدون درد

تعهد به ارائه خدمات باکیفیت و بدون درد

دکتر نورعلی همواره به دنبال ارائه بهترین خدمات با کمترین درد و ناراحتی برای بیماران است. او با استفاده از بی‌حسی‌های مدرن و روش‌های درمانی کم‌تهاجمی، تجربه‌ای راحت و بدون استرس را برای بیماران خود فراهم می‌کند.
رویکرد منحصر به فرد برای هر بیمار

رویکرد منحصر به فرد برای هر بیمار

یکی از ویژگی‌های منحصربه‌فرد دکتر نورعلی، توجه دقیق به نیازها و شرایط هر بیمار است. او با ارزیابی جامع وضعیت دهان و دندان و در نظر گرفتن انتظارات بیمار، درمان‌هایی کاملاً شخصی‌سازی شده ارائه می‌دهد. این رویکرد باعث می‌شود هر بیمار تجربه‌ای منحصربه‌فرد و رضایت‌بخش داشته باشد، که به ایجاد نتایج بهتر و لبخندی زیبا و طبیعی منجر می‌شود.

در بهترین زمان ممکن

درست‌ترین کار را انجام بده!

5600

انجام درمان موفق

6

نیروی تعلیم دیده

14

همکاری گسترده با فعالان در حیطه دندانپزشکی

39

درمان های در حال انجام

دیدگاه مراجعه کنندگان به مطب دکتر نورعلی

لبخندی زیبا، با دقتی بی‌نظیر

با دکتر زیبا نورعلی، دندانپزشک برجسته زیبایی و ایمپلنت، لبخندی درخشان و طبیعی داشته باشید. دکتر نورعلی با سال‌ها تجربه و بهره‌گیری از جدیدترین تکنولوژی‌های دندانپزشکی، درمان‌هایی دقیق، بدون درد و با نتایج ماندگار را ارائه می‌دهد. به شما این اطمینان را می‌دهیم که لبخندتان در دستان ماهر و باتجربه او به زیباترین شکل ممکن خواهد درخشید.

آخرین مطالب